Dental Care & Aesthetic Center

Kenapa sebaiknya perawatan gigi di Dental Care & Aesthetic Center?
Ditangani langsung oleh Drg. FRANCISCA A. JUNIARWI, Sp. Ort. yang sudah berpengalaman praktek sejak tahun 1982. Dan dibantu oleh Dokter Gigi dan Spesialis yang kompeten, menggunakan teknologi yang Up to date dengan harga yang relevan untuk setiap jenis perawatan dan perbaikan Gigi. Dapatkan Gigi yang sehat, kuat dan indah bersama kami.
Our Services
Kami melayani beberapa metode perawatan dan perbaikan Gigi dan Gusi secara menyeluruh dengan dukungan sumberdaya yang memadai. Dapatkan Gigi sehat dan Indah bersama kami.

Bridge Zirconia
Bridge Zirconia by Drg. Francisca A. Juniarwi Sp.Ort adalah salah satu perawatan yang digunakan untuk mengisi kekosongan pada gigi yang hilang dengan konsep 'jembatan'.

Veneer Porcelain
Veneer berbahan porcelain ini dapat bertahan hingga belasan tahun dan lebih kuat jika digunakan untuk menggigit sehingga tidak khawatir saat makan.

Removal Calculus and Stain
Removal Calculus and Stain adalah Pembersihan karang gigi dan stain yang dilakukan untuk seluruh permukaan gigi baik rahang atas maupun rahang bawah.

Bracket Damon Clear Self-Ligating
Damon Bracket System merupakan salah satu produk Self Ligating Bracket yang paling efektif untuk merapikan gigi. Behel damon adalah behel yang menggunakan teknologi yang bernama self-ligating system bracket di mana kawat gigi dapat bergerak lebih bebas dalam memperbaiki kondisi gigi.

Frenectomy
Prosedur frenectomy bertujuan untuk memisahkan frenulum yang menghubungkan bibir dengan gusi. Prosedur ini dapat dilakukan dengan menggunakan laser atau gunting bedah yang telah disterilkan.

Crown Zirconia
Crown gigi atau jacket crown adalah sebuah proses pemasangan selubung gigi di atas gigi yang rusak. Crown atau mahkota gigi tiruan ini berfungsi untuk mengembalikan bentuk, ukuran, dan kekuatan gigi seperti semula.

Bleaching
Bleaching gigi adalah proses pemutihan gigi dengan bahan kimia berupa hidrogen peroksida dan karbamid peroksida. Bleaching gigi bisa dilakukan di rumah, klinik, atau di rumah sakit.

Composite Filling
Apa Itu Tambal Gigi Resin Komposit? Resin komposit adalah bahan tambal gigi yang memiliki kekuatan lebih baik daripada jenis lainnya. Bahan yang satu ini juga memiliki berbagai pilihan warna, sehingga dapat menyesuaikan dengan gigi asli pasien.

Invisalign
Invisalign adalah perawatan ortodontik yang bertujuan untuk merapikan gigi. Saat memilih metode ini, kamu akan menggunakan aligner atau jaket gigi bening selama 20–22 jam sehari. Aligner ini terbuat dari plastik tipis bebas BPA, BPS, lateks, atau gluten.
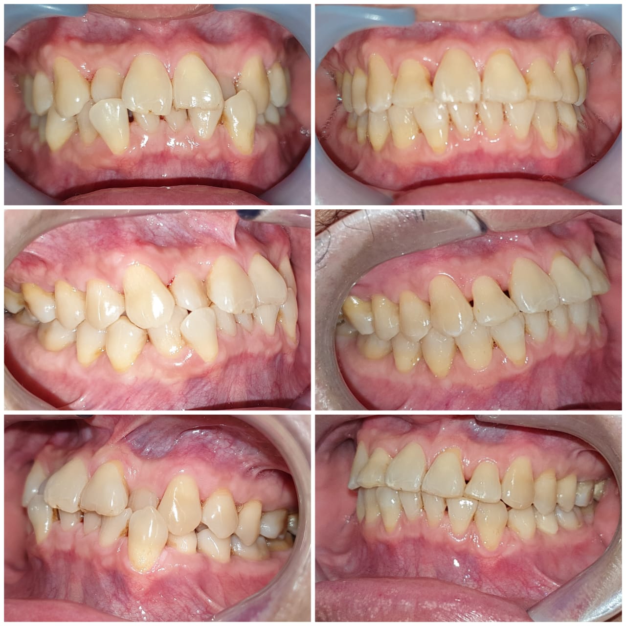
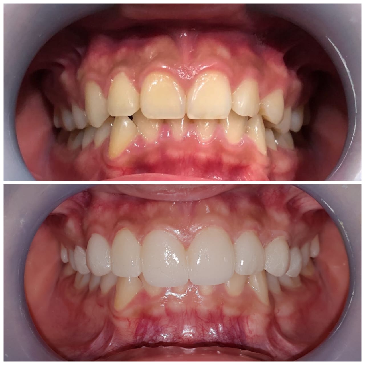
Before / After
Berikut adalah beberapa contoh hasil perawatan dan perbaikan Gigi yang telah kami lakukan untuk beberapa pasien kami. Orientasi ke hasil adalah kepuasan kami.


















